怖くない 痛くない治療を
目標「虫歯定着ゼロ」へ
虫歯になる子供は年々減少傾向にありますがまだまだ多い子供がいるのが現状です。
『痛くない治療』それが小児予防治療であります。
成長と合わせて乳歯列完成から永久歯列完成までのお口の健康管理、生活習慣はとても重要です。低年齢でいかに虫歯にさせないか、、そのためにも徹底した専門歯科衛生士による指導を行います。お子様の笑顔の手伝いをさせていただきます。
口腔内の「成長発育」を診る
くすのき歯科・矯正歯科ではお子様の口腔内の成長、発達、成熟具合、発育等を総合的に診て適切なアドバイスをする様に心がけています。
乳歯からスタート
早ければ生後7ヶ月ほどで乳歯が生えてきますので、乳歯が生えてきたら口腔衛生指導をスタートさせます。
「乳歯だからどうせ生え変わる」と油断しないでください。乳歯の時期から虫歯のリスクにさらされ、3歳までに生涯の口腔内環境が決まると言われています。
また、近年では低年齢時での歯列不正が多く見られる傾向にあります。その原因は様々ですが、口腔内の異常な習癖もその一つとなります。例えば指しゃぶり、爪噛み、下唇などの巻き込み、口呼吸などがそれに該当します。当医院ではそれら習癖の確認を行い、MFT(筋機能訓練)など含め指導していきます。
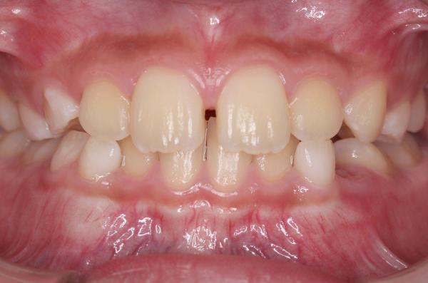
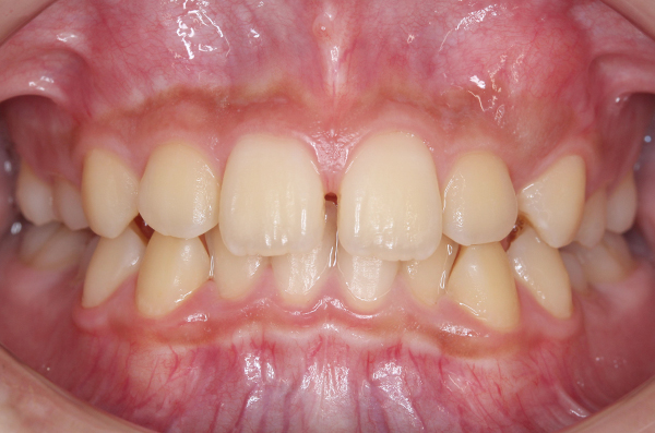
写真を撮り成長発育を診る
口腔内のスライド写真を撮り成長発育を見ていきます。
子供の口腔内は日々大きな変化があり成長が非常に顕著です。歯科医院に慣れた子供は2、3歳でも写真を撮っていきます。特に永久歯に生え変わる前の写真があるのとないのとではその後の診療に大きな差が出てきます。
乳歯でも不正咬合だったものが永久歯になると正常発育となる場合もありますし、正常の状態でも永久歯に変わったら異常な歯列となってしまう場合もあります。それらの変化を見逃さないため、くすのき歯科・矯正歯科ではお子様の成長に合わせ、定期的な診療、アドバイスを行っています。
成長発育の口腔内変化
個々人でお口の中の成長発育は異なります。発育の変化の一例を掲載いたします。このように、永久歯に生え変わる前の写真があると、その後の成長発育の変化と比較ができます。
※画像クリックで拡大表示。
唾液検査でリスクを確認
定期健診に来院されているお子様の中でおやつなどのコントロールがしっかりできていても、虫歯になってしまう場合があります。唾液の中にある虫歯菌の割合や酸性度の高さなどが関係しています。
そこで唾液検査を行うことで、現時点での口腔内のリスクを把握することが可能となり、より細やかな衛生指導を行うことができます。
目で見て分かりやすいグラフになっていますのでお子様のリスク判定に是非ご活用ください。
唾液検査 2,000円
キッズルーム完備
くすのき歯科は大人からこどもまで、様々な方に安心してご来院いただける設備を目指しました。冷たい雰囲気の待合室から脱却することを念頭に、温かみのある配色で、まるでご自宅でくつろいでいるかのような、そのような空間作りを心がけました。お子様もついついまた来たくなるような雰囲気を作ることは、子供が歯医者嫌いにならないようにすることの第一歩です。
保育士による託児システム
くすのき歯科には、保育士が常駐しているため、お子様の扱いにはなれております。また出来る限り歯科に対して恐怖心を抱かせない工夫も心がけております。
当院の託児につきましては、予約制となっておりますので、事前にスタッフにご相談ください。
































