機能性と共に「審美性」も
いつまでも口もとを美しく
これは誰もが永遠に持っている願いであると思われます。金属色が気になってあまり大きな口を開けて笑えない、笑うと気になるという方は多いはずです。セラミックスによる治療は見た目が良いだけではなく生体にとっても非常になじみの良い材質です。いつまでも最高の笑顔でいられますよう、くすのき歯科ではデンタルコーディネートを行っております。
「審美」と「生体親和性」
「生体親和性」という言葉をご存知でしょうか。
これは、その物質がいかに人体に馴染むかの指標を表す言葉です。一般的には虫歯治療や入れ歯の製作において、保険診療であれば「銀歯」や「金属製バネ」など、金属を使用する機会が多いようです。
これらの金属は生体に馴染むことが難しく、長年口腔内に置くと金属が溶け出し、金属アレルギーを発症するリスクが高まり、あなたの健康を損なう恐れがあります。
そのため、それらのアレルギー反応が出る可能性がほとんどない、チタンやセラミック素材のものを使用することが生体に安全だと考えられています。そして、それらの生体親和性を考慮した結果、それはすなわち審美性の向上にもつながるのです。
当院では様々な治療法が可能ですので、審美性を気にされる方もぜひご相談ください。
審美治療とは
「審美治療」とは美しく飾り付けることを目的としたものではありません。本来の歯が持つ、自然な色合いや形状を目指し、口元の治療を感じさせないことを目的としたものです。
口の中の銀歯を白いセラミックスの歯に変えることや、ホワイトニングをする、矯正器具を目立たない器具に変更するなど、様々なアドバイスをご提供することを総称して審美治療としています。
当院では患者様一人ひとりに、最適な審美治療のアドバイスも行っておりますのでどうぞお気軽にご相談ください。
インプラント
部分入れ歯からインプラント治療に変更する事で、まるでもう一度歯が生えたかのように自然な口元に変わります。
オールセラミック
金属アレルギーのリスクがほとんどなく、しかも口腔内に自然に溶け込むため、前歯部の治療で多く用いられる手法です。
ホワイトニング
手軽な審美治療として注目されているのがホワイトニングです。どこまで白くするか、いつから始めるか、ご自分のタイミングで。
ノンクラスプデンチャー
部分入れ歯も、金属バネが目立つものからバネが目立たない「ノンクラスプデンチャー」に変更するだけでだいぶ印象が変わります 。
マウスピース矯正
一般的なワイヤー矯正からマウスピース矯正へ。当院では目立たない矯正もご提供しております。
治療例
今まで手がけた治療例を掲載致します。どの様な難症例でもお気軽に当院までご相談ください。
※部位表記は患者様本人から見て、中心から1.2.3....と数えます。
※表示されている治療費は参考となり症例により変動します。必ずご相談下さい。
※画像クリックで拡大表示。
e-max
30代女性。矯正治療後の上顎左右側切歯の矮小歯の修復治療依頼。上顎左右側切歯をe-maxにて修復治療を行った。
治療費総額 e-max10万円×2本
- 歯肉退縮にならない様に管理が必要です。
インビザライン治療 & e-max
10代男性。前歯の正中離開と側切歯の矮小歯が主訴。インビザライン治療にて正中離開の改善と側切歯の移動を行った後に側切歯はe-maxにて修復治療をおこなった。
治療費総額 インビザライン(上顎のみ)40万円 e-max10万円×2本
- 保定装置を使用しない場合は後戻りの可能性があります。セラミック部位については歯肉退縮にならないよう管理が必要になります。
e-max
20代女性。重度カリエスと前歯の前突を主訴に来院。左右上顎中切歯を根管治療後にe-maxにて修復治療を行なった。
治療費総額 10万円×2本
- 歯肉退縮にならない様に管理が必要です。
- 神経の有無や咬合管理により破折する場合もあります。
ジルコニア修復
30代男性。右上前歯を外傷にて歯冠破折したため根管治療後にジルコニアにて修復治療。右上12ジルコニアにて修復。
治療費総額 10万円×2本
- 歯肉退縮にならない様に管理が必要です。
- 神経の有無や咬合管理により破折する場合もあります。
セラミック&ジルコニア
60代女性。口腔内の金属を白くしたい。メタルインレーをセラミックインレー に左上567はジルコニアブリッジに。右上67、左上2、右下67、左下67はジルコニアJKにて修復。
治療費総額 120万円
- 歯肉退縮にならない様に管理が必要です。
- 神経の有無や咬合管理により破折する場合もあります。
ジルコニア修復
60代女性。上顎正中離開と審美障害。上顎正中離開による審美障害をジルコニアクラウンにて修復。
治療費総額 10万円×2本
- 歯肉退縮にならない様に管理が必要です。
- 神経の有無や咬合管理により破折する場合もあります。
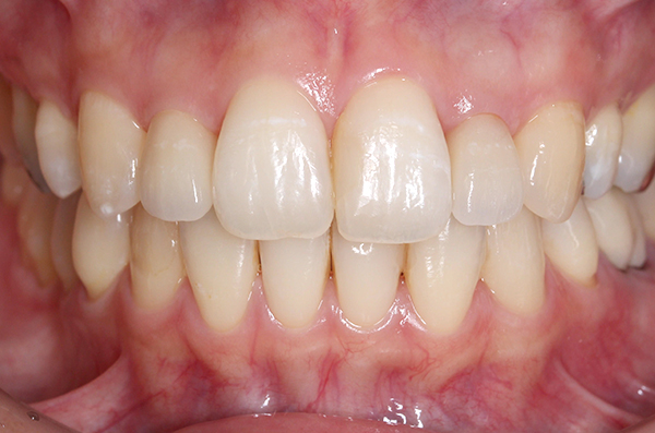
e.max オールセラミック
右上1に黄ばんだレジン前装冠があり審美障害。一度きれいな仮歯に変え、左右の歯ぐきのラインを揃えた後にe.max(レイヤリング、ガラスセラミックス)を装着。
治療費総額 10万円
- 歯肉退縮にならない様に管理が必要です。
- 神経の有無や咬合管理により破折する場合もあります。
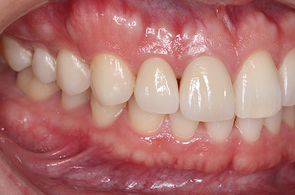
オールセラミック・歯肉メラニン除去
右上2のレジン前装冠の色と歯ぐきの黒ズミが気になる患者さん。レーザーにて歯肉メラニン除去した後にジルコニアを右上2に装着。喫煙による後戻りの心配が残ります。
治療費総額 10万円
- 歯肉退縮にならない様に管理が必要です。
- 神経の有無や咬合管理により破折する場合もあります。
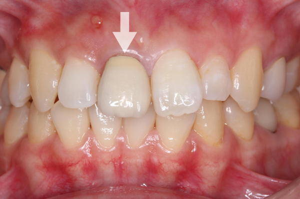
オールセラミック
右上1に陶材が入っている患者さん。やや前方に出ているのが気になる為、一度外して根の治療をし、土台(ファイバーポスト)にて歯軸を修正。その後e.max(レイヤリング)を装着した。
治療費総額 10万円
- 歯肉退縮にならない様に管理が必要です。
- 神経の有無や咬合管理により破折する場合もあります。
ラミネートベニア
上顎の正中離開を気にされた患者さん。きれいな天然歯であった為、削る量の少ないラミネートベニアにて修復した。
治療費総額 8万円×2本
- 歯肉退縮にならない様に管理が必要です。
- 神経の有無や咬合管理により破折する場合もあります。
オールセラミックインレー&ブリッジ
下顎の銀歯の目立つのが気になった患者さん。左下には元々メタルブリッジが入っており、右下4567にはメタルインレーが装着されていた。左下567にジルコニアブリッジ、右下4567にe.maxインレーを装着し、改善した。咬合が強いと欠ける為、咬合管理が必要。
治療費総額 右下4万円×4本 左下10万円×3本
- 歯肉退縮にならない様に管理が必要です。
- 神経の有無や咬合管理により破折する場合もあります。
オールセラミック&ホワイトニング
歯の黄ばみと左上1のレジン前装冠が気になる患者さん。初期治療でステインを除去(PMTC)した後にホームホワイトニングにて自分の歯を白くし、その後オールセラミックを装着した。ホワイトニングは後戻りすることがあります。
治療費総額 セラミック10万円 ホワイトニング3万円
- 歯肉退縮にならない様に管理が必要です。
- 神経の有無や咬合管理により破折する場合もあります。
スマイルデンチャー1
左下467欠損をスマイルデンチャーにて修復した。頬側に金属がこない為、審美性に優れるのと、適合が良く咀嚼率はかなりあがります。入れ歯の為、複数回の調整が必要です。経年劣化や粘膜の形態が変われば修正が必要になります。
治療費総額 18万円
- 歯肉退縮にならない様に管理が必要です。
- 神経の有無や咬合管理により破折する場合もあります。
スマイルデンチャー2
上顎左右67欠損(4本)の為、上顎にスマイルデンチャー装着。強さを求められた為、裏側の見えない部分には金属を使用し、表側には金属のないバネを使用した。入れ歯の為、複数回の調整が必要です。経年劣化や粘膜の形態が変われば修正が必要になります。
治療費総額 18万円
- 歯肉退縮にならない様に管理が必要です。
- 神経の有無や咬合管理により破折する場合もあります。






























































