もう一度自分の歯
歯を失ってしまった場合の処置としてインプラント治療があります。
インプラントとは顎の骨の中に人工歯根を埋め込む方法です。このインプラントは骨と結合し健康な歯のように咬めるようになります。
ブリッジや入れ歯と異なりご自身の歯を削ったりバネをかけたりしないため見た目にも機能的にも優れた方法となります。
日本人の平均寿命は世界一です。
その人生をいつまでも楽しく幸せなものにしていきましょう。私達にそのお手伝いが少しでもできれば、これほど嬉しいことはありません。インプラント治療でご自身の歯と同じ機能を回復させ健康と若さを手にしていただきたいと思っています。
当院取扱いのインプラントシステム
くすのき歯科・矯正歯科では、株式会社白鵬が提供する「Tapered Screw-Vent Implant」をメインに採用しております。
インプラント埋入手術にはメーカー側の提供するシステムの正確さも大変重要です。このインプラントシステムは精度の高いインプラント体を提供すると共に、それを埋入するための設備やツールについても細部に渡りこだわりを持っているインプラントメーカーとなります。
※患者様の症状により、他社インプラントシステムを使用する事もございます。
インプラント治療のために
くすのき歯科では、高度機器によるインプラント治療が受けられます。医学の進歩とは、即ち"機器の進歩"ともいえます。「今まで見えなかった箇所が見えるようになった」「精度の高い予見が可能となった」「もっと効率的な技法が開発された」「新しい素材が開発された」など、医療技術は日々進歩しております。当医院のインプラント治療では治療手順や内容を可視化し、患者様に充分な理解をして頂くため、精密な診断に基いた正確なインプラント治療を施すため、下記の機器を導入し、清潔で安全な環境を整えております。
患部を立体的に捉える――ベラビューエポックス3D
MORITAの3Dレントゲン機器、「ベラビューエポックス3D」を導入しております。この機器により、患部を3次元で捉える事ができ、より正確な治療計画を可能としております。 また、3Dビューにより、患者様に治療内容を容易に把握して頂く事も可能となりました。
無菌の環境で安心インプラント――専用オペルーム
インプラント埋入手術のため、専用のオペルームを設けました。慎重に行うべきインプラント埋入手術だからこその配慮となります。無菌の環境を整える事、スタッフが集中出来る環境である事、そして患者様ご本人が他人の目を気にせず、安心して手術に臨んで頂ける事を目的としています。
滅菌について
当医院ではインプラント治療の全行程について滅菌を意識し、インプラント治療に携わる全てのスタッフは滅菌された手術衣とグローブ、マスクを着用してのオペとなります。また、インプラント治療に関わらず、治療に使用する機器類などはその都度滅菌パックし、使用直前に開封し使用しております。
院内感染のリスクを最大限に抑えることは医院として大変重要なことです。くすのき歯科ではそれらのリスクを重視し、徹底的な衛生管理を心がけております。
インプラントの安全性
インプラントの歴史は紀元前まで遡ります。古来より研究されてきたインプラントですが、純チタンと骨の結合現象の発見により飛躍的な進歩を遂げました。世界中の研究機関が研究と試験を重ね、様々なメーカーが素材や形状を研究してきています。現在の私達はそうした研究の恩恵を一身に受ける事が出来るのです。
インプラント治療の生着率(インプラントが骨にくっつき問題無く機能する率)は様々なデータから95%以上と言われています。手術後間もない時期にインプラントが脱落する事もありますが、患者様ご自身の生活環境によるものや医院のアフターケア、そして術前の診療にも問題があるようです。
インプラント治療を安全かつ正確に行うためには、いくつかの検査が必要になりますが、中でもCTスキャンによる画像診断は大変重要です。これらの解析結果から、あごの骨の質や形、厚みのほか、どの位置に血管や神経が走っているのかなど、多くの情報を立体的に読み取る事が出来ます。それらのデータは安全な治療を施すためには決して欠かす事の出来ないものです。くすのき歯科では3DCTスキャンにより、治療前の診断を確実なものとしております。
治療例
今まで手がけた治療例を掲載致します。どの様な難症例でもお気軽に当院までご相談ください。
※部位表記は患者様本人から見て、中心から1.2.3....と数えます。
※表示されている治療費は参考となり症例により変動します。必ずご相談下さい。
※画像クリックで拡大表示。
抜歯即時インプラント治療
50代男性。上顎前歯の被せ物が外れて来院。上顎左右中切歯の歯根破折を認めたため抜歯即時インプラント治療を施術した。治療期間:約3ヶ月半。
検査 4万円 手術/上部構造 39万円(税別)
- 歯周病を含め定期管理が必要となります。
- 当院ではナイトガードを使用していただいております。
抜歯即時インプラント治療
60代男性。右上前歯の被せ物が外れて来院。上顎右側中切歯の歯根破折を認めたため抜歯即時インプラント治療を施術した。治療期間:約3ヶ月半。
検査 4万円 手術/上部構造 39万円(税別)
- 歯周病を含め定期管理が必要となります。
- 当院ではナイトガードを使用していただいております。
右上1抜歯即時埋入
40代女性。部位右上1に対して抜歯即時インプラント治療を行った。治療期間4ヶ月。
費用 39万円(税別)
- 喫煙者の方は、インプラント周囲炎やインプラント脱離のリスクが高まります。
- 当院ではナイトガードを使用していただいています。
- 骨幅が足りない、神経までの距離が短いケースは手術を行えないこともあります。
左上5抜歯即時埋入
60代女性。部位左上5に対して抜歯即時インプラント治療を行った。治療期間3ヶ月半。
費用 39万円(税別)
- 喫煙者の方は、インプラント周囲炎やインプラント脱離のリスクが高まります。
- 当院ではナイトガードを使用していただいています。
- 骨幅が足りない、神経までの距離が短いケースは手術を行えないこともあります。
右上5欠損
60代女性。右上5を歯根破折のため抜歯しインプラント治療を行なった。
検査 4万円 手術/上部構造 34万円(税別)
- 喫煙者の方は、インプラント周囲炎やインプラント脱離のリスクが高まります。
- 当院ではナイトガードを使用していただいています。
- 骨幅が足りない、神経までの距離が短いケースは手術を行えないこともあります。
左下6 右下7欠損
50代男性。左下6、右下7を歯根破折のため抜歯しインプラント治療を行い咬合機能の回復を行った。
検査 4万円 手術/上部構造 34万円×2本(税別)
- 喫煙者の方は、インプラント周囲炎やインプラント脱離のリスクが高まります。
- 当院ではナイトガードを使用していただいています。
- 歯周病の管理が必要となります。
左下7 左上6欠損
50代男性。左下7、左上6を歯根破折のため抜歯しインプラント治療を行った。
検査 4万円 手術/上部構造 34万円×2本(税別)
- 喫煙者の方は、インプラント周囲炎やインプラント脱離のリスクが高まります。
- 当院ではナイトガードを使用していただいています。
- 歯周病の管理が必要となります。
左右下顎6番
左右下顎6が歯根破折のためインプラント治療を行なった。埋入後3ヶ月で上部構造ジルコニアを装着した。治療期間:約5ヶ月
手術/上部構造 68万円(税別)
- 喫煙者の方は、インプラント周囲炎やインプラント脱離のリスクが高まります。
- 当院ではナイトガードを使用していただいています。
- 骨幅が足りない、神経までの距離が短いケースは手術を行えないこともあります。
右上1欠損
右上1欠損の症例。両側が削っていない天然歯の為、インプラント治療で欠損を補った。
検査 4万円 手術/上部構造 34万円(税別)
- 喫煙者の方は、インプラント周囲炎やインプラント脱離のリスクが高まります。
- 当院ではナイトガードを使用していただいています。
- 骨幅が足りない、神経までの距離が短いケースは手術を行えないこともあります。
左上4欠損
左上3がきれいな天然歯の為削らずに左上4にインプラントにて治療。
検査 4万円 手術/上部構造 34万円(税別)
- 喫煙者の方は、インプラント周囲炎やインプラント脱離のリスクが高まります。
- 当院ではナイトガードを使用していただいています。
- 骨幅が足りない、神経までの距離が短いケースは手術を行えないこともあります。
ロケーター
下顎がすべて欠損の為、2本インプラントを埋入し、入れ歯に組み込むロケーターにて咬む機能が改善。
手術 22万円×2本 上部構造 10万円×2本(税別)
- 喫煙者の方は、インプラント周囲炎やインプラント脱離のリスクが高まります。
- 当院ではナイトガードを使用していただいています。
- 骨幅が足りない、神経までの距離が短いケースは手術を行えないこともあります。
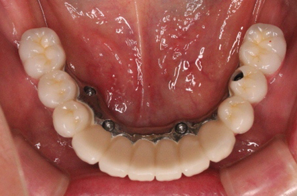
オールオン4
下顎すべてが欠損の為、4本埋入し、入れ歯ではなくインプラントブリッジ(オールオン4)にて改善。
手術 150万円 上部構造 60万円(税別)
- 喫煙者の方は、インプラント周囲炎やインプラント脱離のリスクが高まります。
- 当院ではナイトガードを使用していただいています。
- 骨幅が足りない、神経までの距離が短いケースは手術を行えないこともあります。
左下56欠損
左下56の2本欠損部にインプラント埋入。
検査 4万円 手術/上部構造 34万円×2本(税別)
- 喫煙者の方は、インプラント周囲炎やインプラント脱離のリスクが高まります。
- 当院ではナイトガードを使用していただいています。
- 骨幅が足りない、神経までの距離が短いケースは手術を行えないこともあります。
左上67欠損
左上67にインプラント埋入し、ジルコニアにて被せ物を作製した。
検査 4万円 手術/上部構造 34万円×2本 ソケットリフト5万円×1本(税別)
- 喫煙者の方は、インプラント周囲炎やインプラント脱離のリスクが高まります。
- 当院ではナイトガードを使用していただいています。
- 骨幅が足りない、神経までの距離が短いケースは手術を行えないこともあります。
インプラントQ&A
Qインプラント治療とはどんな治療ですか?
Aインプラント治療は、歯が抜けてしまった箇所にチタン製の人工歯根「インプラント」を埋め込み、アバットメントを介して人工の歯をかぶせる治療方法です。1952年、スウェーデンの医師ブローネマルク教授の研究で、チタンと骨が結合する現象「オッセオインテグレーション」が発見されて以来、長年積み重ねられた研究によって確立した治療法です。
インプラント治療の確立は、旧来の「入れ歯にするか、健康な隣の歯を削ってブリッジにするか」といった選択しかできなかった状況を大きく変えました。今は世界中でインプラント治療が施され、インプラント関連の様々なメーカー、研究機関により、良いインプラント治療のための研究が重ねられています。
Q入れ歯ではダメなの?
Aどんなに良い入れ歯を作っても、患者さんからは「入れ歯の使い心地ってこんなものなんでしょうね」と言われる――。長年入れ歯の研究に身を捧げて来た末に、インプラント研究に転身された学者の言葉です。そうです、入れ歯には限界があるのです。入れ歯には人工の歯を支える床があり、それらを固定するためのバネもあるのですから、それらは確実に口腔内で異物感として認知されます。どんなに精度の高い入れ歯を作ったとしても、それらの厚みが0.1mmでもあればそれは異物なのです。そして、噛み心地を求めるあまりバネ等で強靭に支えれば支える程、他の歯に負担を掛かけてしまえば、それは本末転倒である事も否めません。
一方で、顎の骨にしっかりと埋めつけられ、余計な器具等が残らないインプラント治療は、治療直後の数日を除き、自分の歯を使う感覚で異物感もほとんどありません。つまり、インプラント治療は、現状の入れ歯やブリッジなどの治療法では満足されない患者様におススメしたい治療方法と言えるでしょう。
Q治療費が高い理由
A 統計では概ね1歯50万前後の所が多いと言われるインプラント治療、なぜこの様に高額となってしまうのでしょうか?
国内外様々のインプラントメーカーは、人体に安全かつ正確な治療を施せるようなインプラント体を開発し、医療現場に提供しています。その研究に掛かる費用もさることながら、インプラント体に使用されている素材は良質なオッセオインテグレーション(骨結合)のために欠かせない素材「純チタン」が使用されています。不純物の無い純チタンは金属疲労が起こりにくく、プラチナや金とほぼ同等の耐蝕性を誇る金属です。そして金やプラチナよりも精製が大変難しいため、装飾品で使われる事は少ないのですが、大変価値のある貴金属とも言えます。
インプラント治療の際に最終的に被せるクラウンですが、こちらもせっかくインプラント治療を施したのだからと、セラミックの被せ物を選択される患者様が多い様です。このセラミック製の被せ物はジルコニアと呼ばれる素材の物から、様々な材質の物が出ていますが、審美性が大変高く、本物の歯と見分けがつかない程になります。
そして、そういったインプラントを正確に顎の骨に埋め込むための様々な周辺機器や技術、そしてより安全で無菌の状態を維持するクリーンな環境を整備する事についても言及すると、インプラント治療に掛かる金額はどうしても高額になってしまいがちなのです。
くすのき歯科・矯正歯科ではインプラント治療にも万全の対策と準備を整えた上で治療に入っております。不明な点はどうぞ医院までお問い合わせください。






























































