80%の罹患率、無自覚で進む歯周病
現在成人の80%がかかっていると言われている歯周病ですが治療を受けている方は意外に少ないようです。その原因の一つに無自覚・無症状で進むことが挙げられます。
そのため痛みが出た時には歯を支えている骨がなくなってしまっている場合もあります。
一般的には虫歯の方が痛みがあり治療を早くしたいと思われていますが実は本当に怖いのは歯周病の方になります。家造りを思い浮かべていただくと基礎工事をきちんとしておかないとどんなに良い外観であっても壊れてしまいます。
土台となる歯の周りの骨が少なくなってしまうと支えがないため歯が動いてきます。動いて咬めない、痛くて咬めない、歯ぐきから血が出るといった症状が出てしまいます。そんな時の原因は歯周病となっていることがほとんどです。
日本人の平均年齢は83歳と言われています。歯が丈夫でしっかり咬むことができると心疾患や脳梗塞といった病気にかかりにくくなります。 自分の歯で噛めることが健康長寿につながるとも言われています。
また歯周病の中には歯肉炎と言って赤ちゃんや子供でもなる場合があります。妊娠期のお母さんにも歯肉炎が起こることがあります。原因はお口の中にくっついてしまう汚れと細菌です。この細菌が家族間で移動してしまうと子供にも歯周病ができてしまいます。
家庭でできる簡単な予防法は正しい歯磨きにあります。それと並行して歯石などを取っておく必要があります。どんなに歯医者さんできれいに歯石を取っても上手に歯磨きができていないと歯周病はすぐに再発してしまいます。
当医院では専門の歯科衛生士が4人いますのでそれぞれの患者さんにあわせた歯磨き指導を行っております。毎食後行う歯磨きですので楽しくできるようにお手伝いしたいと思います。歯周病にも程度がありますので重度となる前に是非検診にお越しください。
歯周病の進行の仕方
1細菌の繁殖
歯肉の境、歯の間やくぼみなどは、細菌の繁殖場となっています。歯垢の中の細菌は、唾液の中のカルシウム成分と混ざり歯石をつくります。歯石は、通常のブラッシングでは除去できません。
2歯肉炎の発症
細菌によって、歯肉が侵され始めます。歯肉炎の発症です。この歯肉炎がすすむと歯周病になりますが。すぐに歯周病になる人もいれば、比較的長い時間を要して歯周病になる人もいます。
3歯茎から出血
歯肉炎が起こると栄養が不足してしまい、ぶよぶよと非常にもろい状態となります。歯ブラシや硬い物を噛むなどの物理的な刺激が加わる事により、血が滲み出てきます。
4歯槽骨の溶解
さらに進行すると、細菌はどんどん歯肉と歯の根元を溶かし、歯の根元が歯茎から露出してしまいます。そうなると、やがて細菌は歯槽骨を侵し、骨をほとんど溶かしてしまいます。
治療例
治療例 「歯周再生療法 エムドゲイン」
一度失ってしまった骨はなかなか元の戻ることができません。歯石取りでも治らない場合はエムドゲインという薬を使い再生療法を行うこともあります。エムドゲインとは赤ちゃんの時の発生過程の研究から生まれた歯周組織再生材料です。
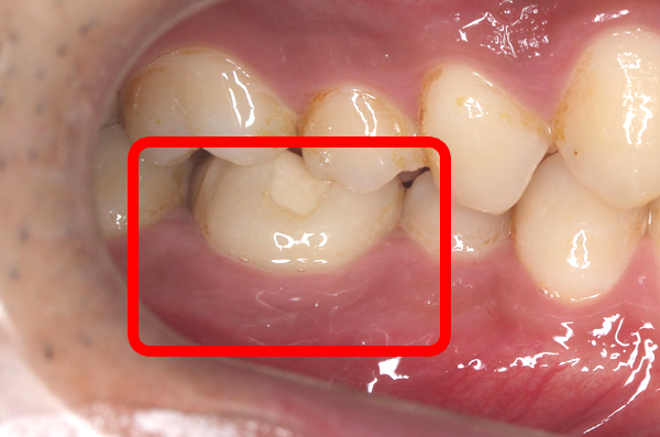
右下6再生療法
右下6の分岐部に骨欠損があった為、エムドゲインによる再生療法をしています。骨欠損が大きな分岐部の場合は骨補填材との併用が有効です。
費用:3万円〜/1歯(税別)
- 口腔内のプラークコントロールが不良では手術が行なえません。逆に悪化してしまう場合があります。
- 手術により多少の歯肉退縮が生じることがあります。
- 重度根分岐部病変では行えない場合もあります。
- その後の定期管理が大切です。
右下2&右下3再生療法
右下23の骨欠損部の根面をきれいに清掃した後にエムドゲインにて再生療法。現在治療後約2年で良好です。
費用:3万円〜/1歯(税別)
- 口腔内のプラークコントロールが不良では手術が行なえません。逆に悪化してしまう場合があります。
- 手術により多少の歯肉退縮が生じることがあります。
- 重度根分岐部病変では行えない場合もあります。
- その後の定期管理が大切です。
右上5再生療法
右上5の垂直性骨欠損部にエムドゲイン療法。2ヶ月待った後に被せ物装着。治療後2年半経過。
費用:3万円〜/1歯(税別)
- 口腔内のプラークコントロールが不良では手術が行なえません。逆に悪化してしまう場合があります。
- 手術により多少の歯肉退縮が生じることがあります。
- 重度根分岐部病変では行えない場合もあります。
- その後の定期管理が大切です。


















