歯並びで人生は変わる
今よりもっと美しい笑顔のために
矯正治療はこの目的のために役立つ治療の一つです。歯並びに問題がある場合は見た目だけでなく機能的にも問題が出てくることも知られてきています。
また、海外では就職活動の面接において最重要項目の一つに口元、歯並びが挙げる企業もあると聞きます。きれいな歯並びそして機能的な咬みあわせを獲得し、より豊かで素敵な人生が送れるようサポートしていきます。
目立たない矯正、「インビザライン」
くすのき歯科・矯正歯科では、目立たず、透明に近い、取り外し可能なマウスピース型の矯正装置「インビザライン」をご提供しております。「インビザライン」は現在、世界45カ国以上の国々で提供される程に臨床例が多く、さかんに研究されている矯正装置です。
透明で目立たない、可撤式の矯正装置ですから、普段の装着も目立たず、食事の時は取り外して普段通りに食事をお楽しみ頂く事ができます。
治療計画に基づき「アライナー」と呼ばれる透明で可撤式のマウスピース型の矯正装置を、患者様ひとりひとりに合わせてご準備します。アライナーはひとつではなく、目標とした歯並びに近づけるべく、少しずつ形状を変えたものを、通常は2週間毎に交換しながら使用して頂き、歯を除々に移動させます。
治療の流れ
1問診・診察
まずは問診から。患者様のお考えをじっくり聞かせていただきます。問診を元に診断し、どの程度まで歯を移動させる事が可能なのか、またインビザラインの特徴などをご説明致します。
23Dよる治療計画
歯並びを口腔内スキャナーでスキャンし、3次元形状でモデル診断します。それに基づき、マウスピースの形状、目標の歯並びまでのステップを計測、治療計画を立てます。
3アライナー作製
治療計画に基づき、アライナーを作製いたします。アライナーは少量で20個程度、多い場合は100個程になることもあります。
4治療開始
治療開始です。アライナーに関する注意点、使用方法をご説明致します。その後も経過確認のためにご来院いただきます。
矯正の種類
矯正にも様々な種類があることはご存知でしょうか。代表的なワイヤーを用いた矯正から、最近ではワイヤーのない矯正もあります。双方にメリット・デメリットがありますので、最適な治療法を当院までご相談ください。
![]() ワイヤー矯正 | ![]() マウスピース矯正 |
|
|---|---|---|
| 治療方法 | ワイヤーとブラケットを使用する固定式の矯正装置を使用して歯を矯正します。 | 透明で取り外しが可能なアライナーを使用して歯の矯正を行います。 |
| 装置が目立たない | 歯に装置を固定するため、目立つ場合があります。 | 透明な素材のアライナーは、装着していても目立ちません。 |
| 可撤性 | 治療が完了するまで、矯正器具は取り外すことができません。 | 簡単に取り外すことができます。 |
| 生体親和性 | 金属製のブラケットやワイヤーによって金属アレルギーを発症する可能性があります。 | 金属を使用しないため、金属アレルギーの心配がありません。 |
| 歯のお手入れ | 矯正装置が歯に固定されているため、歯と歯肉全体のお手入れが難しくなります。 | アライナーを取り外して、普段どおりの歯のお手入れが可能です。 |
抜歯矯正 非抜歯矯正
私たちの歯は、顎の骨、歯槽骨(しそうこつ)に植わった状態で生えそろっています。ですが、この歯槽骨の大きさが歯の大きさに対して小さかったりすると、歯並びがでこぼこしてしまう方が多いようです。
そういった方の矯正を試みる場合は通常、歯槽骨に収まらない歯を抜歯することで歯が窮屈な状態を解消させ、歯を少しずつ移動させるなどの治療計画を立てることになりますが、健康的な歯を抜歯してしまうのは出来る限り避けたいものです。
くすのき歯科・矯正歯科では矯正に精通したドクターによる診断が受けられます。歯列矯正は一般的な歯科治療とは異なり、十分な知識が必要となります。
治療例
今まで手がけた治療例を掲載致します。どの様な難症例でもお気軽に当院までご相談ください。
※部位表記は患者様本人から見て、中心から1.2.3....と数えます。
※掲載費用は参考費用となりますので、症例により変動します。必ずご相談下さい。
※画像クリックで拡大表示。
インビザライン治療
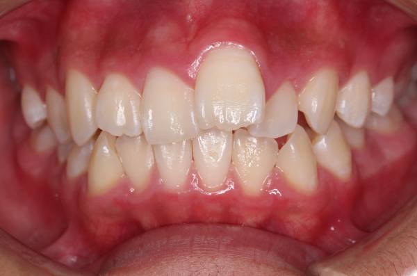
9歳女児。前歯がでこぼこしているが主訴で相談。上下の叢生並びにクロスバイトをインビザラインファーストにて治療。治療期間は約1年半。
費用:45万円(税別)
- 乳歯列期の治療のため全て永久歯に変わった場合に2期治療に移行する場合があります。
- 歯肉退縮が起こる場合があります。
インビザライン治療
10歳男児。上の前歯のでこぼこが主訴で相談。右上2のクロスバイトをインビザラインファーストにて治療。治療期間は約1年半。
費用:45万円(税別)
- 乳歯列期の治療のため永久歯に変わった場合に2期治療に移行する場合があります。
- 歯肉退縮が起こる場合があります。
インビザライン治療
20代女性。上の前歯の叢生と前突感を主訴に相談。上顎両側7番を抜歯しインビザラインにて治療。上顎7番を抜歯したことで移動スペースを確保しながら埋伏していた上顎智歯が正常に萌出され機能咬合させることができた。審美的改善と機能回復の両方を獲得。治療期間は約2年4ヶ月。
費用:80万円(税別)
- ブラックトライアングルが生じる場合があります。
- 歯肉退縮が起こる場合があります。
インビザライン治療
30代女性。反対咬合と前歯の審美障害を主訴に相談。インビザライン治療にて歯牙のポジションを改善した後に上顎前歯にジルコニアボンドを装着し審美障害と機能を回復。治療期間はインビザライン治療が約1年半。補綴物修復が3〜4ヶ月。
費用:インビザライン治療 80万円 セラミック修復(8本)80万円(税別)
- 歯肉退縮やブラックトライアングルが生じる場合があります。
- セラミック修復の長期安定のためナイトガードの使用が必要となります。
インビザライン治療
20代男性。反対咬合を主訴に相談。インビザライン治療にて反対咬合の改善を図った。治療期間は約3年。
費用:80万円(税別)
- 歯肉退縮やブラックトライアングルが生じる場合があります。
1期治療
右上下1がクロスバイトの為、上顎の数本にブラケットを装着し、部分的な反対咬合を改善(約4〜6ヶ月)
費用:検査 3万円 費用 45万円〜(税別)
- 年齢により治療期間を延長する場合があります。
- 歯根の吸収や歯肉の退縮が起こる可能性がありますが、適宜管理します。
1期治療
両側中切歯(真ん中の歯)が反対咬合の為、部分的に改善。
費用:検査 3万円 費用 45万円〜(税別)
- 年齢により治療期間を延長する場合があります。
- 歯根の吸収や歯肉の退縮が起こる可能性がありますが、適宜管理します。
1期治療
右上下1がクロスバイトの為、上顎の数本にブラケットを装着し、部分的な反対咬合を改善(約4〜6ヶ月)
費用:検査 3万円 費用 45万円〜(税別)
- 年齢により治療期間を延長する場合があります。
- 歯根の吸収や歯肉の退縮が起こる可能性がありますが、適宜管理します。
1期治療
両側側切歯1.2番目の歯が反対になっている為、上顎に装着をつけ改善。(期間は6〜8ヶ月)
費用:検査 3万円 費用 45万円〜(税別)
- 年齢により治療期間を延長する場合があります。
- 歯根の吸収や歯肉の退縮が起こる可能性がありますが、適宜管理します。
1期治療
上の前歯の前突感(出っぱり)が強い為、上顎に装置をつけ改善し、その後夜間のみにFKOという機能改善装置を装着。(夜間使用状態で効果は異なります)
費用:検査 3万円 費用 45万円〜(税別)
- 年齢により治療期間を延長する場合があります。
- 歯根の吸収や歯肉の退縮が起こる可能性がありますが、適宜管理します。
抜歯矯正
上顎前突と開口症例、上顎中間歯を2本抜歯し、前突感と開口を改善した。
費用:検査 2〜3万円 治療費 75万円(税別)
- 年齢により治療期間を延長する場合があります。
- 矯正計画により親知らずを抜歯する場合があります。
- 歯根の吸収や歯肉の退縮が起こる可能性がありますが、適宜管理します。
ワイヤー矯正5
14歳女性。正中離開と下顎叢生、左上7のシザースバイト、過蓋咬合。先にシザースバイトをリンガルアーチで改善後にワイヤー矯正にて治療。治療期間は2年。
費用:70万円(税別)
- 歯肉退縮による知覚過敏が生じる場合があります。
ワイヤー矯正6
10代女性。奥歯のかみ合わせがずれている、前歯が出ているが主訴。ワイヤー矯正にて小臼歯部のシザースバイトの改善と前突感を改善。治療期間は2年
費用:70万円(税別)
- 歯と歯の間に隙間が生じる場合があります。
- 保定装置を使用しないと後戻りをする場合があります。
インビザライン矯正1
34歳女性。下顎叢生と左上下2の部分的反対咬合をインビザラインフル治療にて改善。治療期間は約2年。
費用:80万円(税別)
- 歯と歯の間に隙間が生じたり歯根が短くなる場合があります。
インビザライン矯正4
27歳男性。上下前歯の空隙と審美障害が主訴。インビザラインフル治療にて空隙スペースを改善。治療期間は約2年。
費用:80万円(税別)
- 保定装置を使用しないと空隙が戻る場合があります。
インビザライン矯正5
29歳女性。正中のズレ、上下叢生、右上下2の反対咬合が主訴。インビザラインフル治療にて改善。治療期間は約2年。
費用:80万円(税別)
- 歯の段差改善によりはと歯の間に隙間が出る場合があります。
インビザライン矯正6
31歳女性。叢生と上顎前歯審美障害が主訴。インビザラインライト治療にて叢生と上顎前歯の捻転を改善。治療期間は11ヶ月。
費用:45〜50万円(税別)
- 捻転改善により歯と歯の間に隙間が生じる場合があります。
インビザライン矯正9
16歳女性。上顎中切歯審美障害が主訴。インビザラインライト治療にて前方転位改善。治療期間は10ヶ月。
費用:45〜50万円(税別)
- 保定装置を使用しないと捻転が戻る場合があります。
インビザライン矯正10
10代女性。前歯が出ているが主訴。インビザライン治療にて上顎前突を改善。治療期間は1年7ヶ月。
費用:80万円(税別)
- 保定装置を使用しないと後戻りをする場合があります。
- 歯根が短くなる場合があります。
ワイヤー矯正による反対咬合治療
20代女性。反対咬合の主訴のため矯正治療をワイヤーにて開始した。途中左上2番が骨性癒着のため動かずヒビも入っていたため歯冠部のみ抜去し歯根部を埋入させるルートサブマージドテクニックを併用。歯列矯正後左上2にジルコニア接着性ブリッジを装着した。治療期間2年半。
費用:80万円(税別)
- 歯と歯の間に隙間が生じる場合があります。
- 保定装置を使用しないと後戻りをする場合があります。
- 歯肉退縮を起こす場合があります。
部分矯正+修復治療
上顎前歯の正中離開と2番の矮小歯が主訴のため部分矯正と自費コンポジットレジンにて修復治療を行なった。治療期間約8ヶ月。
費用:23万円(税別)
- 歯と歯の間に隙間が生じる場合があります。
- 保定装置を使用しないと後戻りをする場合があります。
インビザライン矯正による開咬治療
20代女性。開咬(オープンバイト)のためインビザライン治療を開始した。治療期間2年半。
費用:80万円(税別)
- 歯と歯の間に隙間が生じる場合があります。
- 保定装置を使用しないと後戻りをする場合があります。
矯正治療Q&A
Q治療期間はどれくらいですか?
A治療方針や治療計画等によって異なりますが、ワイヤー矯正装置も、マウスピース矯正装置も治療期間はほとんど変わりがないようです。
Q虫歯や歯周病、歯が抜けている人もできますか?
検査の時に診断します。矯正治療のプランはお口の状態に合わせて立てていきます。矯正装置をつける前に虫歯や歯周病の治療を済ませる場合が一般的ですが、矯正治療を考えている場合には、それらの治療も含めて当院にご相談ください。
Q過去に矯正した歯並びの再治療はできますか?
A一度治療が終わった歯並びでも、年齢の経過とともに後戻りが起きる場合があります。特に、成人矯正は、こういった後戻りした人も対象となります。
Q歯を抜かずに矯正はできますか?
A歯並びによって、抜歯しないで治療できる場合もあれば、抜歯あるいは抜歯しない治療方法のどちらでも選択できる場合もあります。また、歯並びによっては、抜歯・非抜歯の選択によって、治療後の口元の印象、横顔のラインが違う場合があります。どの様な治療方法が最善なのか、ご一緒に相談して決定していきましょう。
Q矯正治療中はむし歯になりやすいって本当ですか?
A矯正治療中は口の中に装置があるため歯磨きがしづらかったり、食べかすが装置に付着してしまったりと、むし歯になるリスクが高くなる可能性があります。また、唾液による自浄性が低下しやすくなります。くすのき歯科・矯正歯科ではブラッシング指導など日頃のメンテナンスのサポートもしております。
Q治療後に、また歯並びが悪くなることはありますか?
A矯正治療で動かした歯が元あった場所に戻ってしまう、一般的に後戻りと呼ばれる状態が起こる可能性はあります。原因として考えられることとして、十分な保定をしなかった、噛み合わせの調整が不十分だったことなどが考えられます。後戻りが起きないように、治療後もしっかりとケアするとが大切です。













































































































































































